Acne
Home - Treatment - Acne
Acne
Also called: Pimples, Zits
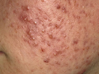
Acne is a common skin disease that causes pimples. Pimples form when hair follicles under your skin clog up. Most pimples form on the face, neck, back, chest, and shoulders. Anyone can get acne, but it is common in teenagers and young adults.
Body waste and toxins deposited or retained in organs, blood and inside free places of our body, causes all type of diseases so cleaning of body in every condition guarantees a best health.
Causes
Sebaceous glands are presents in various parts of our body, which lubricates our skin with sweat glands. When this glands stop to do its work then small pimples will appear. These pimples usually appear in young boys and girls.
Factors Influence growth of Acne
- Hormonal changes related to puberty, menstrual periods, pregnancy, birth control pills, or stress,
- Friction caused by leaning on or rubbing the skin, pressure from backpacks, or tight collars,
- Environmental irritants such as pollution and high humidity,
- Squeezing or picking at blemishes, hard scrubbing of the skin,
- Greasy or oily cosmetic and hair products
- Certain drugs (such as steroids, testosterone, estrogen, and phenytoin)
Treatment at SSOHM
At SSOHM we provide treatment for this disease which is combination of herbal and homeopathy. Skin diseases are mainly caused by toxins accumulated in liver and bacterial infection on skin which may spread all over body if not removed from root. Skin Cleanse at SSOHM removes all bacterial infection from skin. Also we provide information, guidance and counseling, after treatment, that the Acne does not reappear.
The treatment is 100% safe with no side effect